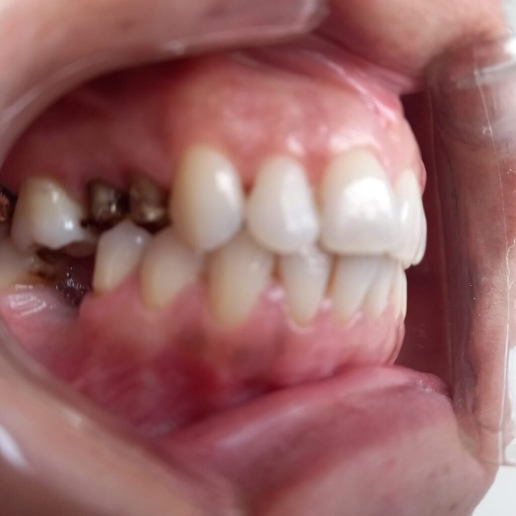
Cuando un diente requiere cobertura total, nuestras Coronas de Zirconia ofrecen una solución protésica de alta gama. La Zirconia es un material cerámico de vanguardia, con una resistencia excepcional (comparable a la del metal) y una estética sólida.
Al ser libre de metal, imita el color natural del diente, eliminando las antiestéticas líneas oscuras en el margen gingival. Es biocompatible y altamente duradera, ideal para restaurar dientes dañados o usarse en implantes, devolviéndole su sonrisa con total confianza.
Caso clínico de colocación Coronas de Zirconia:


