La endodoncia, comúnmente conocida como tratamiento de conducto, es un procedimiento dental que elimina el tejido pulpar afectado. Este tratamiento no solo alivia el dolor, sino que también previene la pérdida de la pieza dental, permitiendo que los pacientes mantengan su sonrisa natural.
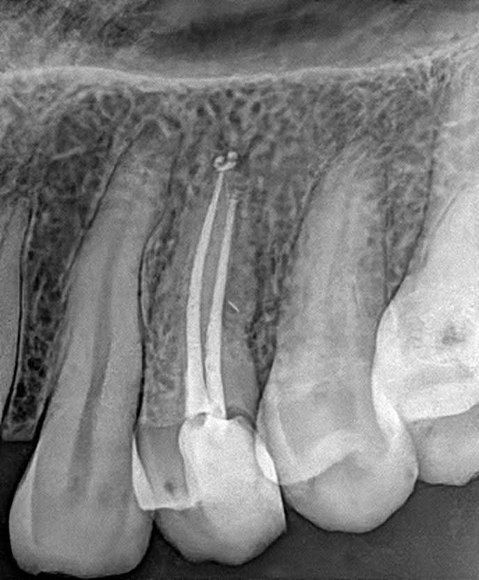
Caso clínico realización de Tratamiento de Conducto:

